-

为何近两年查出肺结节的人这么多? 2024-05-30
目前,我国有1.5亿肺结节高危人群群体,每年新发现或者新诊出肺结节患者达到1000万~2000万,肺结节的早期筛查也是临床上最常见的问题。这两年,不少人在做CT时也发现,自己和周围人在检查中发现肺结节的比例也增加了...
-

日本确认:小林制药问题保健品所含成分有损健康 2024-05-29
当地时间28日,针对日本小林制药公司含红曲成分保健品致消费者健康受损事件,日本厚生劳动大臣武见敬三表示,经与相关领域专家共同研究,已基本认定小林制药生产的问题红曲原料中的软毛青霉酸会导致与肾脏相关的健康...
-

2024年版百日咳防控方案发布 2024-05-27
各省、自治区、直辖市及新疆生产建设兵团疾控局、卫生健康委:为进一步科学精准做好百日咳防控工作,切实维护人民群众生命安全和身体健康,国家疾控局会同国家卫生健康委制定了《百日咳防控方案(2024年版)》。现印...
-

有学校实施班级隔离!近期高发!医生提醒注意防护这些疾病 2024-05-22
近日,“一个班9人发烧请假”引发关注,据了解,9名发烧请假的同学感染的病毒各不相同,流感、腺病毒、呼吸道合胞病毒都有。从大人到小孩,轮流得了一遍近期流行的呼吸道疾病以甲型流感、百日咳、呼吸道合胞病毒、腺...
-

健康大礼包!价值702元!5月底,海口市将继续为13-14岁半女生免费接种HPV疫苗 2024-05-20
2024年海口市继续为适龄女生免费接种HPV疫苗,全市将有1.1万名适龄女生受益。凡在海口市上学,第1剂次接种年龄满13周岁至14周岁半,未接种过HPV疫苗的女生,均可以按照知情、自愿原则前往就读学校指定的定点接种机构...
-

新冠病毒新变异株已进入我国 2024-05-16
近日,有媒体报道,一种被命名为KP.2的新冠变异株,正在全球范围蔓延。日前,国家疾控局微信公众号发布文章《新冠病毒KP.2变异株,你需要了解的都在这里》,对新冠病毒KP.2变异株的相关热点问题做出解答。具体内容如...
-

全球迅速蔓延!国家疾控局最新提示→ 2024-05-14
国家疾控局今天发布健康提示,介绍新冠病毒KP.2变异株相关情况。KP.2是新冠病毒奥密克戎JN.1变异株的第三代亚分支,也是JN.1变异株中具有较强传播优势的一个亚分支,于2024年1月2日在印度采集的样本中首次监测到。2...
-

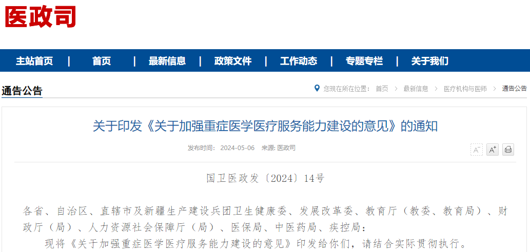
我国将设置国家重症医学中心!八部门联合发文→ 2024-05-10
近日,国家卫生健康委等八部门联合印发《关于加强重症医学医疗服务能力建设的意见》(以下简称《意见》),提出我国将设置国家重症医学中心。到2025年末和2027年末,我国重症医学床位分别达到15张/10万人和18张/10万...

无障碍浏览
长者浏览助手


