-

经常咳嗽、呼吸不顺畅?小心被它找上……出现这些信号要警惕! 2025-11-19
“最近上楼总喘,是不是年纪大了?”“老咳嗽,有痰,肯定是老烟枪了。”“入冬后这气总感觉不够用,歇歇就好了。”这些对话是否似曾相识?很多人会把活动后气短、咳嗽、咳痰简单地归咎于“年龄大了”或“抽烟的正常...
-

螃蟹不能这样吃!有人因此肺、肝等多个器官都坏了! 2025-11-18
食蟹正当时。无论是醉蟹、呛蟹,还是刚烤至半熟的螃蟹,都因其独特的口感成为餐桌上的“宠儿”。然而,如果饮食方式不当,这份“鲜”味的背后可能会潜藏着巨大的健康隐患:生食或半生食螃蟹,极有可能让肺吸虫悄悄侵...
-

联合国糖尿病日︱预防糖尿病,从改变生活方式开始 2025-11-14
2025年11月14日是联合国糖尿病日,今年的主题是“糖尿病与幸福感”。长期久坐、缺乏运动,加上高能量、高糖、高脂的失衡饮食结构,以及由此引发的超重与肥胖,共同为糖尿病的发生提供了“温床”。我们的身体难以适应...
-

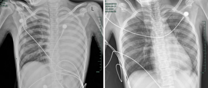
发热仅1天,肺全白了!这种病极度危险,千万别当普通感冒 2025-11-12
孩子感冒咳嗽看似常见,可12岁女孩笑笑(化名)的经历却让人感到后怕——仅发热1天,左肺就变成了“白肺”,呼吸急促到无法平躺,血氧饱和度勉强维持在90%左右,情况十分危急!治疗前后影响对比,左肺从“白肺”到正...
-

偏头痛,很多人以为是小毛病,致残性却仅次于中风! 2025-11-11
很多人一提到“偏头痛”,第一反应就是“头疼嘛,忍一忍就好”。正因为这种误解,偏头痛常常被轻视,甚至和普通的紧张性头痛混为一谈。但事实上,偏头痛是一种影响全球超十亿人的神经系统疾病,在世界范围的致残性疾...
-

这件事会显著增加结直肠癌、乳腺癌等13类癌症的发病,现在重视还来得及 2025-11-11
提到肥胖,许多人的第一印象或许是身材的改变。然而,它的影响远不止于此,相关文献报道肥胖可以引起200多种疾病,会显著增加患心血管疾病、2型糖尿病、高血脂等疾病的风险。我们许多人忽视的是,肥胖还是多种癌症的...
-

立冬到,劝你多吃这些食物,真的更养生! 2025-11-07
立冬已至,天地始冻,万物收藏。在这个阴阳转换的关键节气,中国古代典籍中蕴藏着深邃的饮食智慧,不妨和大家分享一下。《黄帝内经·素问》有云:“冬三月,此谓闭藏,水冰地坼,无扰乎阳。”古人早已洞见冬季养生的...
-

这种常见食材有助于延缓大脑衰老!还能防癌→ 2025-11-07
经常听到身边人聊天,谈到食物的营养时,会说“四条腿的不如两条腿的,两条腿的不如一条腿的”。这里的“一条腿”,指的就是蘑菇。小小蘑菇真的这么神奇吗?它究竟有哪些健康价值?每天一个蘑菇,有不少健康益处■经...

无障碍浏览
长者浏览助手


